レーザー治療
レーザー治療について
痛みの少ない治療を目指して、歯科治療にレーザー治療が活躍しはじめました。
その装置も数種類ありますが、中でも炭酸ガスレーザーは、生体組織の水分に 対する反応(蒸散能力)が高く、発熱が少なく、表面 の黒焦げや周囲の組織への影響がほとんどありませんので、安全性の高いレーザー装置といわれています。
また、治療時には、虫歯の部分だけを取り除くことができるため、健全な部分を多く残すことができます。
もちろん痛みもなく安全で出血もあまりません。
どんな治療に効果的か?
- 歯ぐきの黒ずみ
タバコなどのメラニン色素の黒ずみも、数回のレーザー照射できれいな、ピンク色の歯ぐきになります。 - 虫 歯(むしば)
麻酔注射なしでも痛みを感じることはほとんどなく、レーザーを照射するだけで虫歯の進行を止めることができます。特に、子供の初期虫歯や歯ぐき付近の虫歯に有効です。 - 口内炎、アフター、口角炎
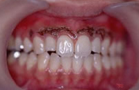
例
初診時
歯肉(上前歯周辺)の黒色を、患者さんは気にしていました。メラニン色素の沈着が見られます。
レーザーCO2による治療を行います
焦げているように見えますが、ほとんど痛みはありません。
施術例
治療終了後にメラニン色素の沈着がなくなり、本来のピンク色に回復しました。
施術後
患者さんの笑顔が一層引き立ちます。











